Retour à la bibliothèque

Découverte fortuite

Publiée le 25/12/2025

FANNY JOUJOU pour la SFECHO

Une échographie vésico rénale pour dysurie chez un patient suivi pour sa prostate est réalisée par une manipulatrice en radiologie dans le cadre d'un protocole de coopération en échographie.
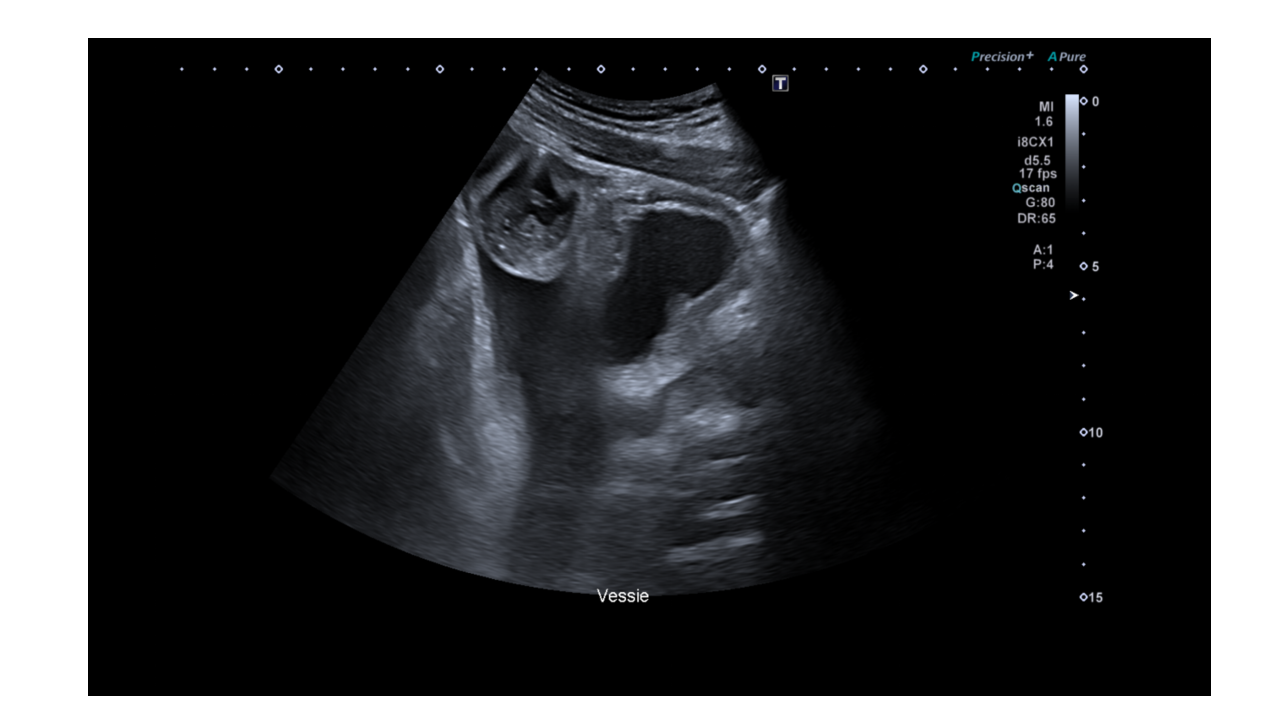
Apres avoir exploré les reins, la prostate (en sus pubien) et la vessie, son attention se porte sur cette image, à droite de la vessie sur une coupe sagittale, et sur l'ascite dans le cul de sac de douglas.

Le patient présente des douleurs abdominales, un balayage complémentaire est alors réalisé avec une fréquence d’émission augmentée pour mettre en évidence cette structure.

Voici le résumé du balayage réalisé par la manipulatrice en échographie.

Une distension d'une anse grêle mesurée à 37mm de diamètre antéro postérieur est détectée.

Le diamètre d’une anse grêle ne doit pas dépasser 25mm .

Un apéristaltisme est ausi observé.
Le patient est alors adressé au scanner pour compléter l’examen.
Après la réalisation du scanner, le patient se retrouve hospitalisé pour un syndrome occlusif .

Inscrivez-vous à notre newsletter

Pour recevoir toutes les informations concernant les prochaines éditions des journées d'échographie multidisciplinaire ainsi que les actualités de la SFÉcho, inscrivez-vous à notre newsletter.