Retour à la bibliothèque

Echographie abdominale dans un contexte de surveillance de cirrhose

Publiée le 24/12/2025

Fanny JOUJOU pour la SFECHO

Il est de la responsabilité de chaque échographiste (médecin comme manipulateur) de s’assurer d’avoir entièrement balayé un organe et son environnement, et d’utiliser tous les paramètres pour mettre en évidence une anomalie.

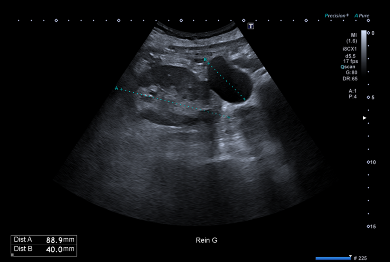
Se contenter d’une seule coupe échographique, (comme par exemple, le grand axe rénal, celui de la rate, ou bien les mesures de flèches hépatiques), constitue une erreur et est une perte de chance pour le patient.

Pour illustrer cela, à quoi vous fait penser cette formation anéchogène située au pôle inférieur du rein gauche sur cette coupe d’échographie abdominale réalisée dans un contexte de surveillance de cirrhose post infection VHC chez une patiente de 74 ans ?

Celui qui se contente de cette seule coupe répondra très probablement kyste simple.

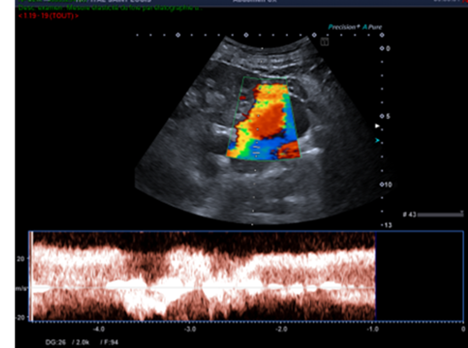
Celui qui aura balayé entièrement l’organe et son environnement, et qui aura complété son examen par le doppler couleur répondra différemment.

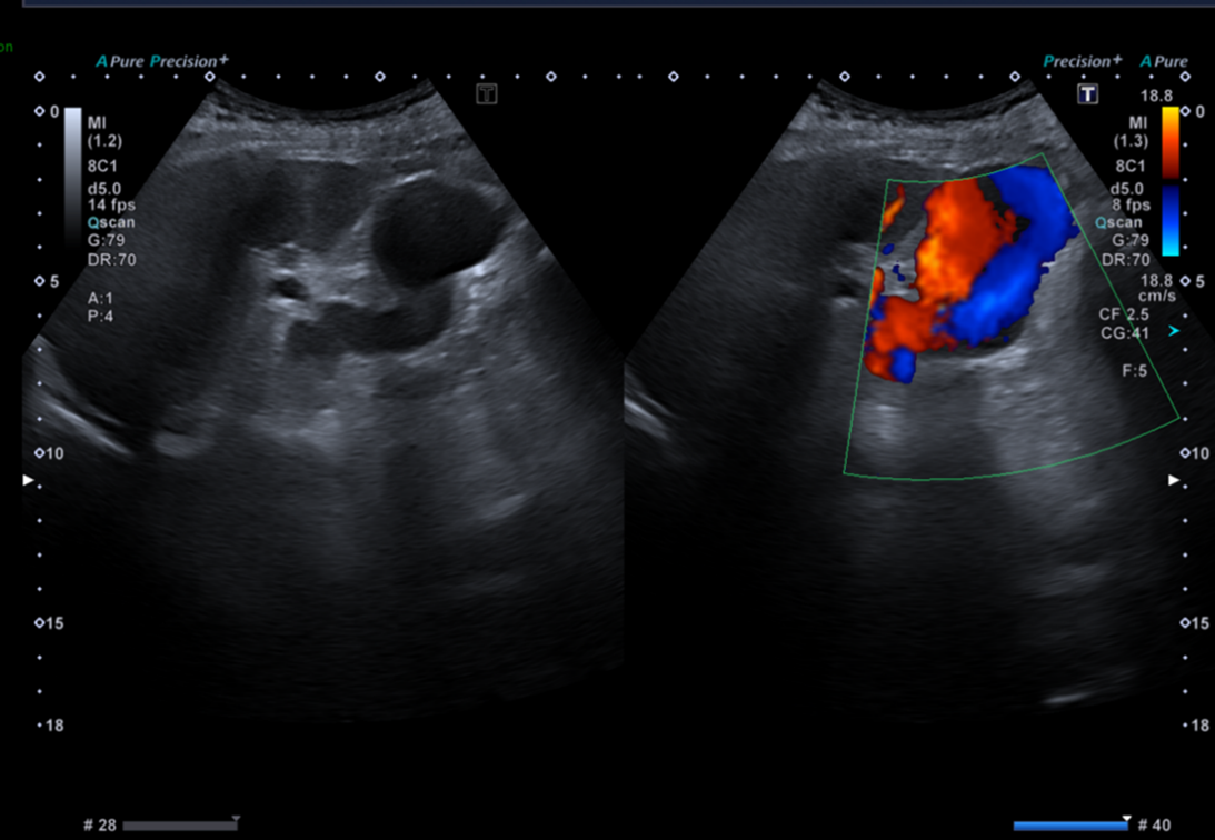
Voici le résumé des balayages et réglages réalisés par le manipulateur en échographie.

Ces nouvelles coupes (faisant apparaitre la rate, le doppler couleur et le doppler pulsé), montrent alors non pas un kyste rénal mais des volumineuses veines péri spléniques correspondant à des voies de dérivations spléno-rénales témoignant d’une hypertension portale probablement liée à la cirrhose sous-jacente.

Il est donc nécessaire de compléter son examen par une recherche d’autres signes d’hypertension portale notamment la présence d’ascite ou toute autre dérivation veineuse digestive (recanalisation de la VO, varices porto-portales, dilatation de la VMS et/ou dilatation des veines gastriques, varices mésentérique-caves (difficilement visibles en échographie-Doppler) ou la présence de varices porto-caves).

Inscrivez-vous à notre newsletter

Pour recevoir toutes les informations concernant les prochaines éditions des journées d'échographie multidisciplinaire ainsi que les actualités de la SFÉcho, inscrivez-vous à notre newsletter.