Retour à la bibliothèque

Quand une lésion en cache une autre...

Publiée le 21/03/2026

Fanny JOUJOU pour la SFECHO

 

Un écho-Doppler veineux du membre inférieur pour une recherche de thrombose veineuse profonde est réalisé chez un patient sportif présentant une douleur brutale du mollet droit.

Le réseau veineux (superficiel et profond) est perméable et compressible.

Cependant le regard de l’échographiste s’arrête sur cette image.

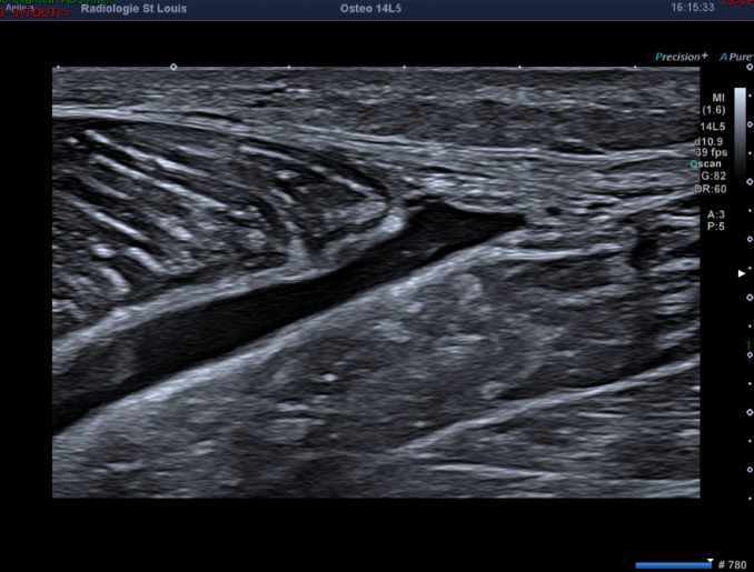
Que vous évoque cette collection liquidienne située entre les muscles gastrocnémien médial et soléaire ?

Il s'agit d'un hématome lié à la désinsertion myoaponévrotique au niveau de la jonction  des muscles gastrocnémien médial et soléaire, compatible avec un tennis leg.

La douleur que cette lésion musculaire provoque au mollet peut mimer une thrombose veineuse des membres inférieurs en raison de sa localisation.

Un contrôle est réalisé chez ce patient une semaine plus tard, devant une persistance de la douleur.

Voici le résumé de l’examen.

Une majoration de l’hématome est alors détectée.

Mais l’échographiste n’arrête pas son regard uniquement sur cet hématome, il vérifie la perméabilité des réseaux veineux superficiel et profond.

Veines gastrocnémiennes médiales droites.

Les veines gastrocnémiennes médiales droites sont incompressibles, dilatées, sièges d’un thrombus s’étendant sur toute leur hauteur, sans extension à la veine poplitée.

Devant l’absence d’incompressibilité de ces veines sur l’examen antérieur, on évoque une thrombose veineuse récente qui est une complication de l’immobilisation en rapport avec la douleur musculaire.

Il s’agit d’une complication classique qu’on retrouve dans les lésions musculaires, il faut donc toujours penser à la rechercher.

Inscrivez-vous à notre newsletter

Pour recevoir toutes les informations concernant les prochaines éditions des journées d'échographie multidisciplinaire ainsi que les actualités de la SFÉcho, inscrivez-vous à notre newsletter.