Retour à la bibliothèque

Un tronc porte soufflant le chaud et le froid

Publiée le 21/03/2026

Fanny JOUJOU pour la SFECHO

Une échographie abdominale est réalisée chez un patient se présentant pour un bilan de cholestase et un ictère cutanéo-muqueux. Il n’a pas d’antécédent hépatique connu et ne présente pas de douleur abdominale.

L’échographiste détecte un foie homogène, sans lésion focale, sans signe de dysmorphie, aux contours réguliers, une rate homogène de taille normale.

Les voies biliaires ne sont pas dilatées.

Par contre le foie est augmenté de taille de façon harmonieuse.

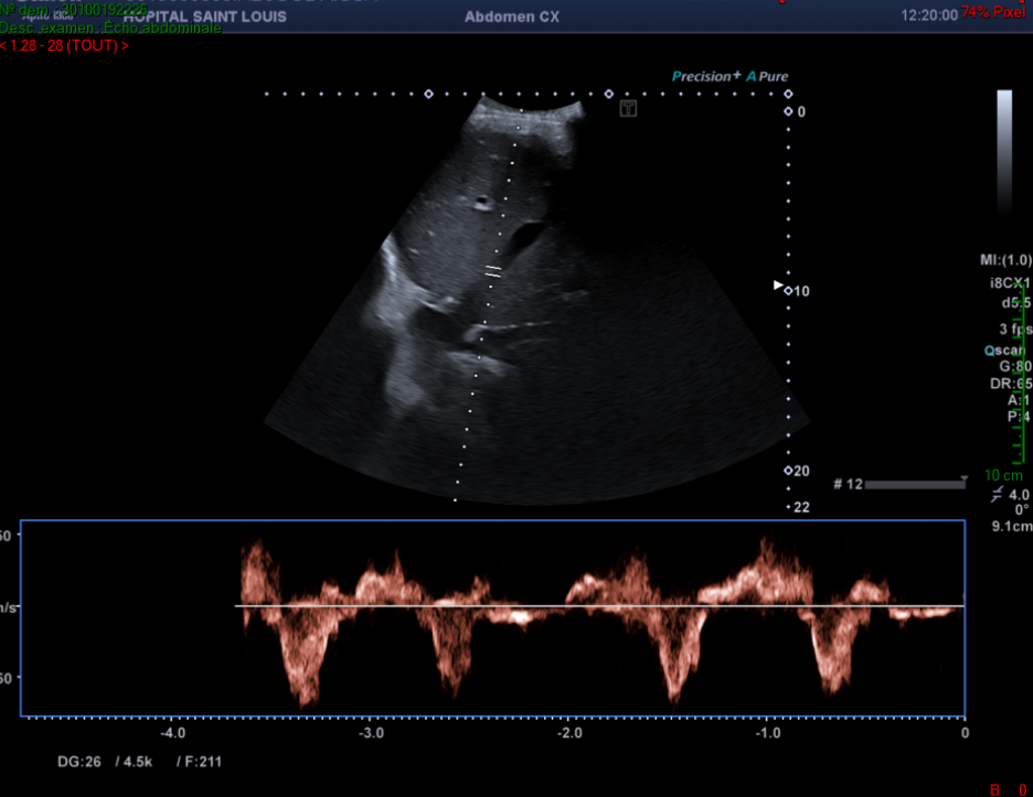
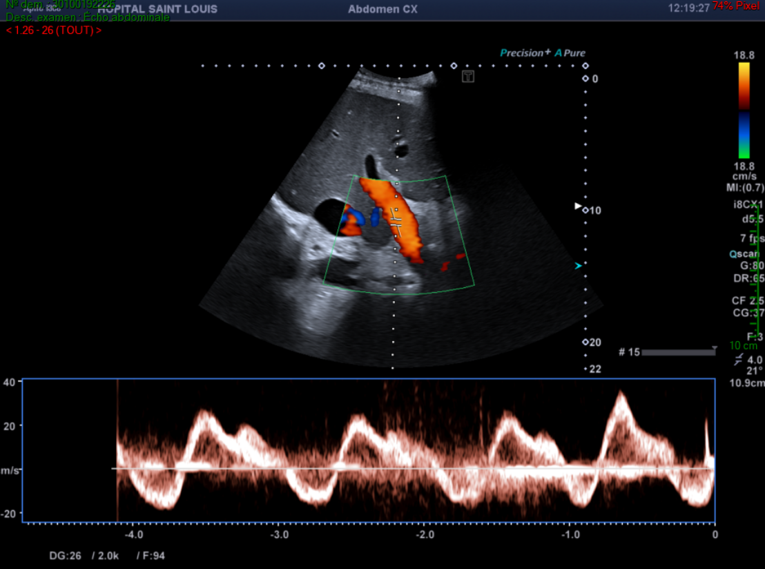
De plus, le flux du tronc porte attire son attention.

Il observe alors une alternance entre un flux hépatopète et hépatofuge au sein du tronc porte.

Un flux portal normal est dirigé vers le foie (hépatopète).

Un spectre normal du tronc porte est continu avec une légère pulsatilité liée à la décélération lors de l’inspiration.

Une importante pulsatilité est évocatrice d’une dysfonction ventriculaire droite et/ou d’une importante insuffisance tricuspide, signe indirect d’une hypertension artérielle pulmonaire.

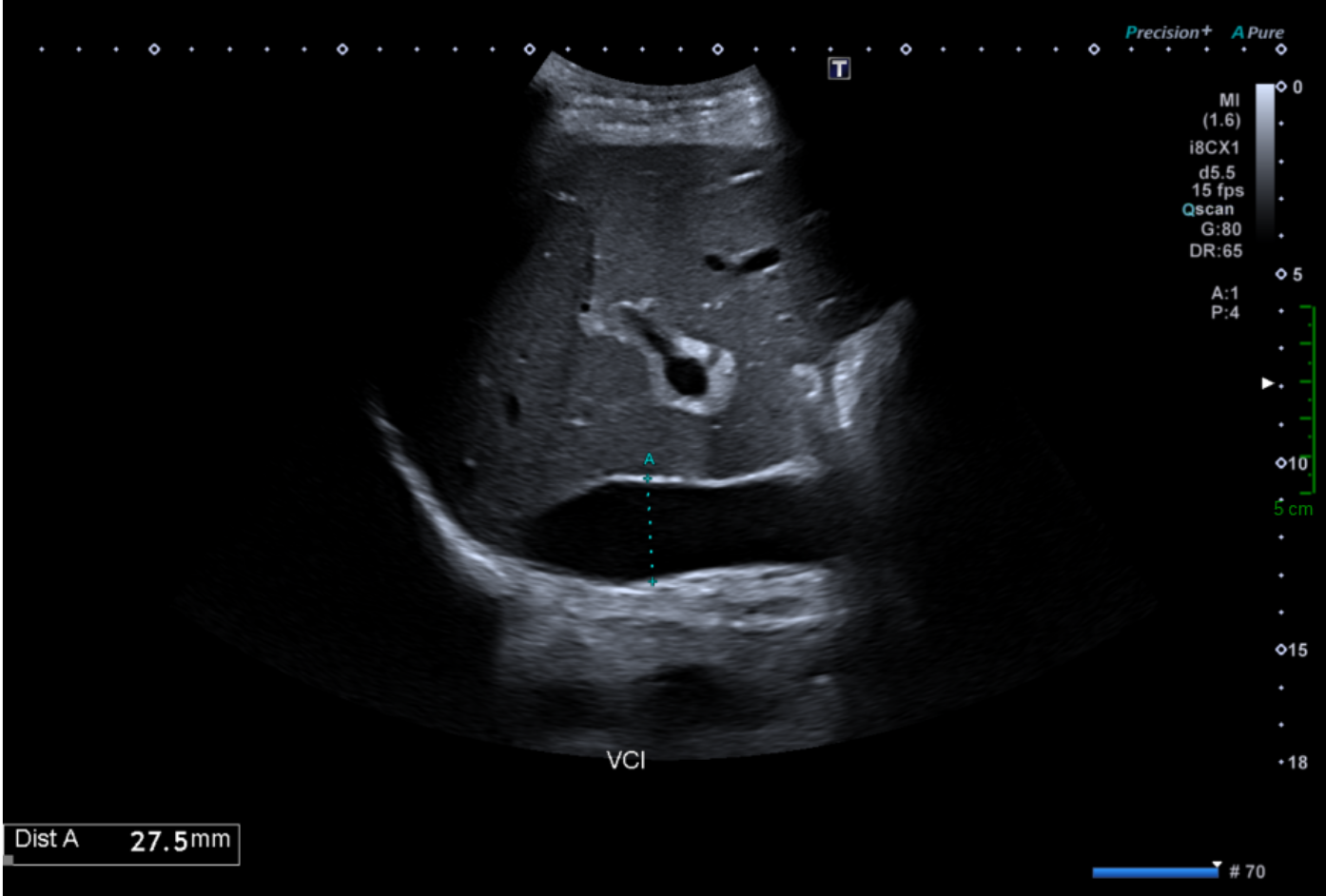
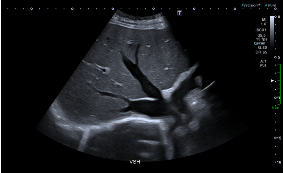
L’échographiste poursuit son exploration en étudiant la veine cave inférieure, les veines hépatiques, et en recherchant la présence d’ascite.

Il découvre alors :

Une dilatation de la veine cave inférieure.

Le calibre normal de la veine cave inférieure varie au cours du cycle respiratoire : il est maximum en inspiration bloquée (manœuvre de Valsalva) et minimum, voire collabé, en fin d'expiration. Cette cinétique est un critère important de normalité hémodynamique. Le diamètre en expiration profonde ne doit pas dépasser 25 mm

Un épanchement intra abdominal de moyenne abondance.

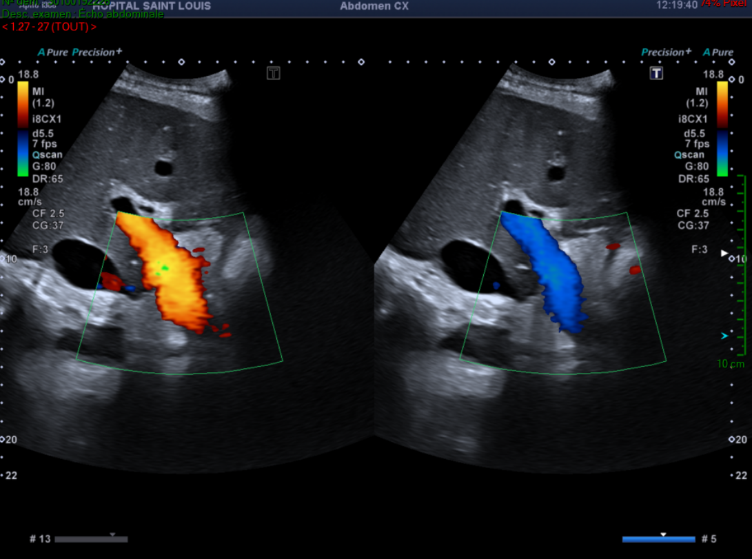
Une dilatation des veines hépatiques avec un diamètre mesuré à 16mm.

Le diamètre maximal d'une veine sus-hépatique mesuré avant son entrée dans la veine cave  inférieure est de 10 mm .

Une valeur plus élevée indique une dilatation, elle est typiquement retrouvée dans les insuffisances cardiaques droites.

Une perte du flux triphasique des veines hépatiques.

 

Ces signes échographiques associés aux signes cliniques et biologiques doivent faire suspecter un foie cardiaque.

Le patient sera adressé à un cardiologue qui complètera l’examen par une échographie cardiaque, qui révèlera une insuffisance cardiaque droite sévère.

 

Ainsi un foie cardiaque est diagnostiqué selon la triade suivante :

  • Clinique :

Hépatomégalie douloureuse et signes d’insuffisance cardiaque droite

  • Biologie :

Cholestase (PAL, GGT, bilirubine augmentées) et cytolyse modérée

 

  • Echographie Doppler :

Hépatomégalie

VCI dilatée non compliante

Pulsatilité du tronc porte

Perte du flux triphasique des veines hépatiques

Dilatation des veines hépatiques

Ascite

 

Devant un bilan de cholestase sans dilatation des voies biliaires, et la présence de ces signes échographiques, l'échographiste doit toujours orienter le patient vers un cardiologue.

Inscrivez-vous à notre newsletter

Pour recevoir toutes les informations concernant les prochaines éditions des journées d'échographie multidisciplinaire ainsi que les actualités de la SFÉcho, inscrivez-vous à notre newsletter.